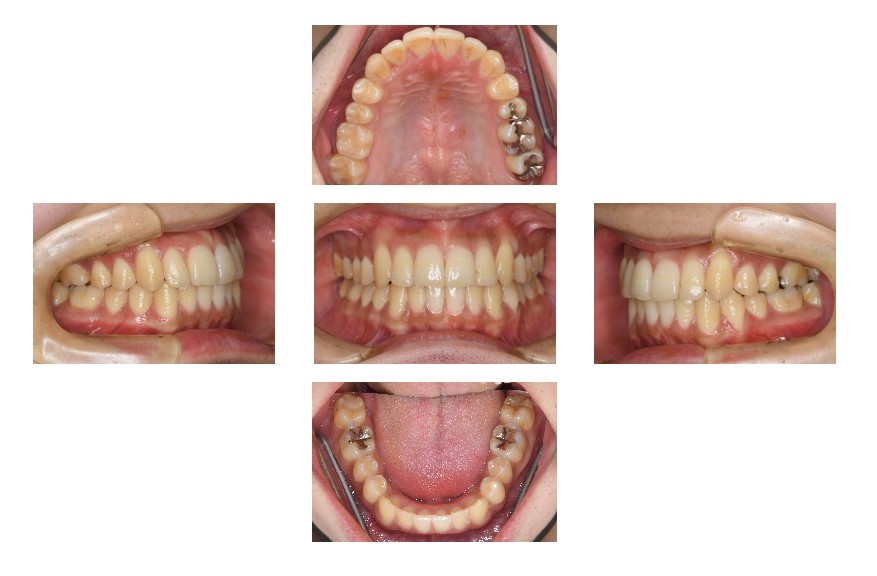
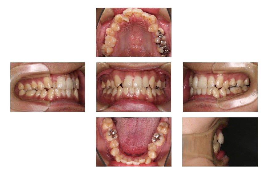
出っ歯・でこぼこの改善〔マウスピース型矯正装置・福岡・天神〕
2021年7月4日
| 主訴 | 出っ歯 でこぼこ |
| 年齢 | 13歳 |
| 診断 | 過蓋咬合 |
| 治療内容 | マウスピース型矯正装置 |
| 非抜歯 | |
| 治療期間 | 1年2か月 |
| 費用 | 900,000円 |
| リスクと副作用 | □歯肉、頬、舌および唇に、装置による擦り傷または痛みが生じる場合があります。 |
| □ 歯の移動に伴い、圧痛を経験することがあります。 | |
| □ 前歯の移動においては歯根が吸収することがあります。 | |
| □ 歯の移動により歯肉が退縮することがあります。 | |
| □ 歯と骨が癒着を起こしており、歯が動かない場合があります。 | |
| □ 矯正治療中に歯の歯髄が壊死することがあります。 |






