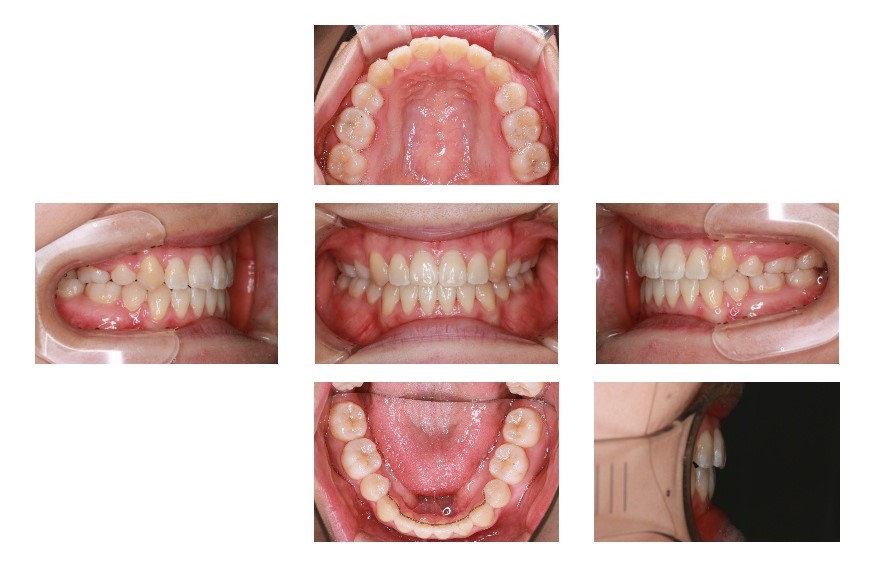
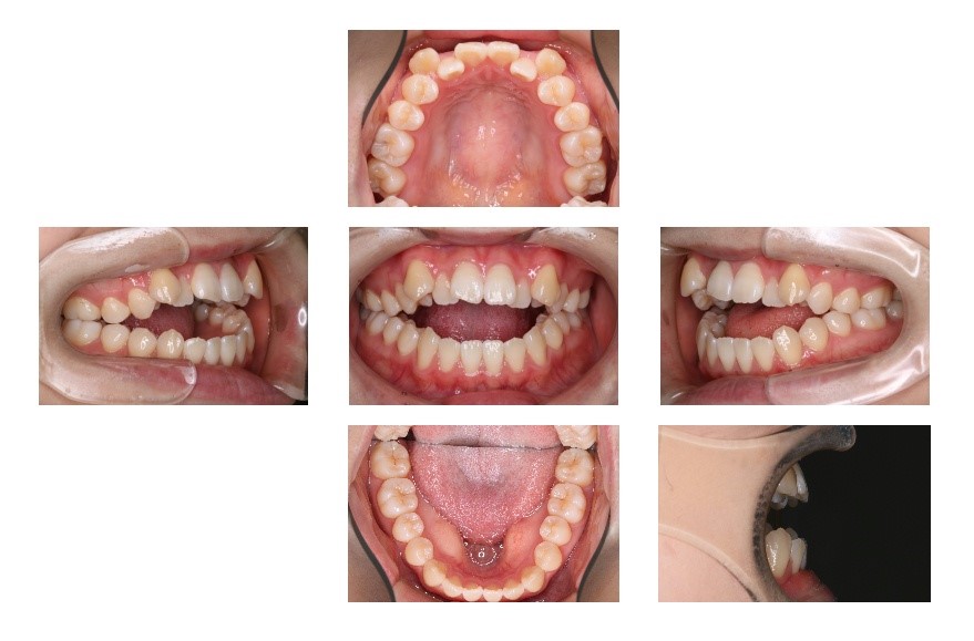
開咬・八重歯の改善〔表側矯正・福岡・天神〕
2021年7月4日
| 主訴 | 八重歯 前歯でかめない |
| 年齢 | 22歳 |
| 診断 | 開咬 |
| 治療内容 | ラビアルブラケット |
| 上顎左右4、下顎左右5抜歯 | |
| 治療期間 | 2年6か月 |
| 費用 | 850,000円 |
| リスクと副作用 | □歯肉、頬、舌および唇に、装置による擦り傷または痛みが生じる場合があります。 |
| □ 歯の移動に伴い、圧痛を経験することがあります。 | |
| □ 前歯の移動においては歯根が吸収することがあります。 | |
| □ 歯の移動により歯肉が退縮することがあります。 | |
| □ 歯と骨が癒着を起こしており、歯が動かない場合があります。 | |
| □ 矯正治療中に歯の歯髄が壊死することがあります。 |





