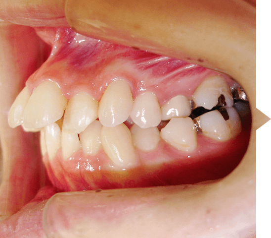
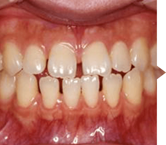
| 主訴 | 前歯のでこぼこ | 診断名あるいは 主な症状 | 上下顎前突 |
|---|---|---|---|
| 年齢 | 25歳 | 治療に用いた 主な装置 | フルリンガル |
| 抜歯部位 | 上下左右4抜歯 | 治療期間 | 3年4か月 |
| 治療費 | 132万円(税込) | ||
| リスクと副作用 |
| ||
矯正歴20年
マウスピース矯正/ワイヤー矯正の専門医が担当
「目立ちにくい矯正」専門

福岡・天神の歯列矯正歯科YOSHIDA(よしだ)矯正歯科クリニックでは、患者さんのニーズにこたえるため様々な矯正コースをご用意しています。マウスピース型矯正装置、気付かれない裏側矯正、前歯の部分的な矯正、非抜歯矯正、後戻りした歯の再矯正、横顔を綺麗にする矯正、子供の歯列矯正(小児矯正)。それぞれをご紹介します。













矯正治療後(保定期間中)、歯が後戻り
した場合でも2年間保証。

矯正安心
パック!


最初にワイヤー矯正、そのあとに
マウスピース矯正を行う「ハイブリッド矯正」
【ハイブリッド矯正の特徴】






マウスピース型矯正の他、ワイヤー矯正(表側/裏側/ハーフ)に対応しています。基本的にどのようなケースでも対応可能です。

Eラインも整えられたらな…
スマイルラインを獲得したい…
お任せください!
適応症例は限定されますがEライン・スマイルラインも整うことがあります!


歯並びの状態にもよりますが、歯列矯正をすることで歯並びだけでなく、口元(フェイスライン/Eライン)が整うことがあります。フェイスライン/Eラインとは、鼻先と顎先を結んだラインのことです。このラインが整うと、キレイ、かわいい、かっこいい顔立ちになるといわれています。
※適応症例は限定されます。


スマイルラインはご存じでしょうか?これは「キレイな笑顔」の基準です。笑った時に上の歯の先端を結んだ曲線が下唇のラインと調和する状態のことを指します。当院の矯正ではこの状態を意識した治療も行います。
※適応症例は限定されます。

| 主訴 | 前歯のでこぼこ | 診断名あるいは 主な症状 | 上下顎前突 |
|---|---|---|---|
| 年齢 | 25歳 | 治療に用いた 主な装置 | フルリンガル |
| 抜歯部位 | 上下左右4抜歯 | 治療期間 | 3年4か月 |
| 治療費 | 132万円(税込) | ||
| リスクと副作用 |
| ||

| 主訴 | 前歯が出ている | 診断名あるいは 主な症状 | 上下顎前突 |
|---|---|---|---|
| 年齢 | 20歳 | 治療に用いた 主な装置 | フルリンガル |
| 抜歯部位 | 上下左右4抜歯 | 治療期間 | 2年5か月 |
| 治療費 | 132万円(税込) | ||
| リスクと副作用 |
| ||

歯がほとんど動かなかった…
歯が後戻りしてきた…
ご安心ください!
ケースにもよりますが、比較的
で再矯正致します!
再度矯正となると、
とイメージされるかと思います。
最近では、再矯正を希望される方が増えてきています。小さいころ矯正治療をしたが徐々に歯並びが崩れてきた方、数年前に歯列矯正をしたが歯並びに満足いかず再矯正を求める方など。当院ではそのような方向けのプランもご用意していますのでご相談ください。

吉田 憲生Norio Yoshida

■略歴
■資格



初診個別相談院長による「個別相談」
理想をお聞きしたうえで、数ある治療法・素材の中から
あなたに適切な治療法を複数ご提案させて頂きます。

STEP1
WEB予約
STEP2
相談
STEP3
精密検査
STEP4
診断と説明
STEP5
治療開始
\ 希望される方には /キレイになる過程が分かる動画をご提供


私も矯正の経験者です。
見た目の改善はもちろんですが、
何よりも物事を前向きに考えられるようになり、
性格まで明るくなりました。
矯正治療は長い期間がかかります。
しかし、それを我慢することで
非常に多くのものを手に入れることが出来ます。
そのことをもっと多くの方に伝えたいですし、
体験して頂きたいと思っています。

主な症状
主な装置
副作用