マウスピース型
カスタムメイド
矯正装置
(インビザライン)

分割にも対応
(デンタルローン利用時)
「部分的」な矯正:
月4,800円 (税込)/
総額49.5万円 (税込)
「お口全体」の矯正:
月8,700円/
総額88万円~110万円 (税込)
まずは、マウスピース型矯正装置のおさらいから

まず、マウスピース型カスタムメイド矯正装置(以下、マウスピース型矯正)はご存じでしょうか?今、若い方にとても人気があります。
人気の秘訣は従来型ワイヤー矯正装置にはなかった次のような特徴があるためです。
しかし、次のようなデメリットもあります。
ワイヤー矯正の場合、自分で取り外しできないため「装着しなければならいない」という概念はありませんが、マウスピース矯正の場合「取り外しできる」ため、1日20時間以上装着しないと、歯が動かないということが起きえます。
マウスピース型矯正装置には様々なメーカーがあり、その特徴も様々です。部分的な歯並びしか対応していないメーカーもあります。
コラムマウスピース型矯正装置で問題発生?

マウスピース型矯正装置の人気の影で、歯がイメージよりも動かなかった、他院で矯正のやり直しを検討している等の声が聞こえるようになってきました。
これには2つの理由があります。
- ①利用したマウスピース型矯正装置のメーカーの限界
- ②担当ドクターの経験不足
①に関しては、先ほどもお伝えした通り、メーカーによって特徴が異なることで起きる問題です。
例えば、
- 前歯の部分的な歯並びしか矯正できないメーカー
- 臨床実績が極端に少ないメーカー
- 安かろう悪かろうのメーカー
- 日本で認証されていない材料で製作されているメーカー
- 治療精度が低いメーカー
当院では世界シェアを獲得している「インビザライン」を扱っています。上記のどの問題にも該当しないメーカーなのでご安心ください。
また②に関して(ドクターの経験不足)。
皆さん驚かれるのですが、実は従来型のワイヤー矯正と比べ、マウスピース型矯正装置は、矯正治療の経験のないドクターでも簡単に始められてしまいます。その理由は、建前上、AI(人工知能)主導で治療を進めることが出るためです。
簡易的なケースであれば、ある程度AI主導で進められるケースもありますが、それ以外の場合は、まだまだ人間の知識や経験による調整が必要となります。

その調整なく治療を進めてしまうと、歯が動かない、治療期間が無駄に長くなる、予定したように歯が動かない・・・・等の問題が生じます。
当院ではワイヤー矯正もマウスピース型矯正のどちらも多くの実績を積んだ矯正専門ドクターである院長が必ずあなたの治療を担当します。
略歴
福岡歯科大学臨床研修終了
福岡歯科大学矯正歯科入局
医療法人矯英会サトウ矯正歯科クリニック勤務
YOSHIDA矯正歯科クリニック開設
資格
日本矯正歯科学会有資格者
「世界的シェア」を獲得しているマウスピースを採用
今では、様々なメーカーからマウスピース型矯正装置が出されていますが、当院では世界シェアを獲得している、「インビザライン」を扱っています。
また、小児向けには「インビザラインファースト」というものがあります。
マウスピース型カスタムメイド矯正装置(インビザライン)には次のような特徴があります。
インビザライン社の
マウスピース型装置の「特徴」
特徴1「治療前」に「治療後」の歯並びをシミュレーション!
治療前にお口の状態をスキャンし、治療中、そして治療後の状態をAI機能でシミュレーションすることができます。
特徴2数百万症例の「ビックデータ」を利用!
ワイヤー矯正は、術者の経験・知識をベースにした治療になりますので、担当医の能力によって治療の精度は異なります。
しかし、マウスピース矯正は数百万症例のビックデータをもとに、適切な治療法をAIが分析しますので、そのデータと担当医の経験が合わさることで精度の高い治療が可能になります。
特徴3基本的に「非抜歯」で対応!
インビザラインはワイヤー矯正では対応が難しかった、「後方移動」が可能な装置です。専門的な話なので詳細は割愛しますが、後方移動ができることで、非抜歯で対応できる確率が高まります。
マウスピース矯正は「前歯だけ」の部分矯正にも適しています!
矯正治療はすべての「歯並び」を整えるだけでなく、気になる部分を整える「部分矯正」も対象となります。例えば、出っ歯やすきっ歯や、前歯のねじれなど。
インビザラインででは「全体矯正」がクローズアップされますが、「部分的な矯正」にも対応しています。
次のような特徴があります。
- 前歯の気になる歯並び矯正に特化
- 短い治療期間(3ヵ月~9ヵ月)
- 治療費を抑えることができる
治療後、「後戻り」してしまった方にもマウスピース矯正はお勧め!
過去に矯正治療をしたが、歯並びが徐々に戻ってきてしまった方は結構いらっしゃいます。
この状態を「歯の後戻り」というのですが、主に、治療後に法定装置(リテーナー)を一定期間つけていなかったことが原因です。
後戻りした歯並びを、再矯正する場合、多くの方が
「また何年も治療期間がかかるのか・・・」
「また高額な治療費を払わなければならないのか・・・」
と思われるのですが、後戻りが軽度の場合は、以前よりも低い治療費で矯正できることがあります。
クリニックで診断すれば治療期間・治療費が分かりますので、まずはご相談にお越しください。
コラム2年間の「後戻り保証」があります!

後戻り保証とは、矯正治療後の保定期間中、歯が後戻りした場合でも2年間内で対応する保証になります。
※医院の指示に従い、定期的にメンテナンスに通われていることが保証条件となります。
冒頭でもお伝えした通り、後戻りするのには「原因」があります。
当院では「噛み合わせ」をしっかり考慮した治療を行いますので、それが原因で後戻りすることはありません。あとは治療後の「保定装置の装着」のみになります。
これは患者さんのご協力が必要となります。
もう二度と、残念な思いをしないよう、一緒にキレイで機能的な歯並びを取り戻しましょう!
矯正治療の内容やメリット・デメリット、リスク・副作用について
治療内容
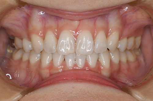
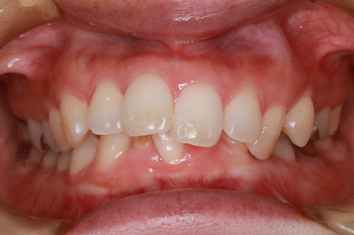
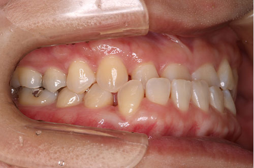
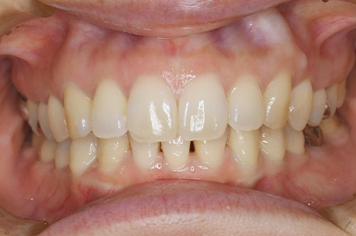
矯正治療とは、金属製のワイヤーやブラケットを用いた矯正装置や、マウスピース型カスタムメイド矯正装置などを歯に装着して、乱れた歯並びや噛み合わせをキレイに改善する治療のことです。凸凹な歯並びや出っ歯、受け口、口元の突出などの噛み合わせの悪い歯並びを治します。
費用について
個人の症状や治療内容などによって異なるが、約22~110万円(税込)ほどかかる(自費診療)
メリットとデメリット
メリット
デメリット
- 抜歯を必要とする場合がある
- 自費診療となり健康保険対象外であるため高額になることがある
- 歯根吸収が起こることがある
リスク・副作用
- 歯の移動に伴い、痛みを生じることがある。
- 虫歯と歯肉炎のリスクが高くなる。
- 歯根吸収、歯肉退縮を起こすことがある。
- 治療期間は予定より変更になることがある。
マウスピース型矯正装置(インビザライン)について
- 未承認医薬品等であること
マウスピース型矯正装置「インビザライン」は医薬品医療機器法等法(薬機法)の承認を受けていない未承認医薬品です。 - 入手経路
マウスピース型矯正装置「インビザライン」は製造元であるインビザラインジャパン社から取り寄せています。 - 国内の承認医薬品等の有無
国内にもマウスピース型矯正装置として医薬品医療機器等法(薬機法)の承認を受けているものは複数存在します。 - 諸外国における安全性に係る情報
マウスピース型矯正装置「インビザライン」は1997年にFDA(米国食品医薬品局)により医療機器として認証を受けています。 - マウスピース型矯正装置「インビザライン」は完成物薬機法対象外の矯正歯科装置であり、承認薬品を対象とする医薬品副作用被害救済制度の対象外となる場合があります。
初診「個別」相談へのご案内
当院では、患者さんが抱えていらっしゃるお口のお悩みや疑問・不安などにお応えする機会を設けております。どんなことでも構いませんので、私たちにお話ししていただけたらと思います。
ご興味がある方は下記からお問い合わせください。