27.5万円~77万円(税込)の
部分矯正
※月額3,200円の分割も可

- マウスピース型矯正装置も可
- 「裏側」からの
ワイヤー部分矯正も可
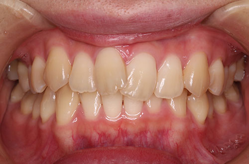
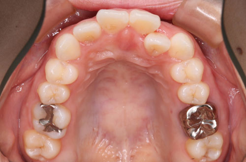
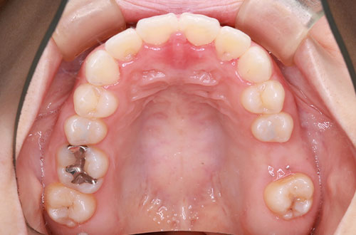
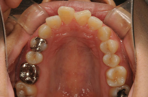
「前歯の部分矯正」~気になる部分だけ治療したい方向け

部分矯正とはその名の通り、「部分的に」歯並びを整える矯正になります。
例えば、
- 出っ歯を治したい
- すきっ歯を治したい
- 前歯のねじれを治したい などなど
当院で行う部分矯正には様々な特徴がありますので、それぞれご紹介します。
特徴1比較的「低価格」で治療が可能/27.5万円~77万円(税込)
部分的な治療になるため、歯並び全体の矯正よりも大幅に費用を抑えることができます。当院ではデンタルローンを利用した場合月額3,200円で治療を始められます。
また、治療途中の「調整料」や、治療後の「保定料」も含めた費用になっておりますので、別途費用が発生することはありません。
特徴2「目立たない」装置も/「裏側」の部分矯正も対応
歯の表側に付けるワイヤー矯正の他、歯の裏側に付ける裏側部分矯正、透明なマウスピース矯正(インビザライン)等、患者さんの好みの装置を選択できます。装置によって費用は異なりますのでご相談ください。
「表側」ワイヤー矯正
従来型の装置です。
目立ちにくいカラーの装置もご選択いただけます。
「裏側」ワイヤー矯正
歯の裏側に矯正装置を付けます。
部分矯正を歯の裏側から行う医院は多くないので、
興味のある方は是非お問い合わせください。
マウスピース矯正(インビザライン)
透明で取り外しできるマウスピース型の矯正装置になります。当院では「インビザライン」を利用しています。
治療前に「治療後の歯並び」をシミュレーションしてみませんか?

治療前に「どのような歯並びになるのか」が分かると、
モチベーションが上がると思います。それを可能にするのが「iTeroエレメント」と呼ばれる機器です。
お口の中をスキャンし、それをAI(人工知能)に読み込ませ治療後の歯並びをシミュレーションします。
コラム2年間の「後戻り保証」があります!

後戻り保証とは、矯正治療後の保定期間中、歯が後戻りした場合でも2年間内で対応する保証になります。
※医院の指示に従い、定期的にメンテナンスに通われていることが保証条件となります。
歯が後戻りしてしまう原因は次の2つです。
- 治療後の保定装置(リテーナー)を装着していない
- 噛み合わせが整っていない
上記2つをしっかり行っていれば、基本的に後戻りはしません。
しかし、万が一のために、当院ではこのような保証期間を設けています。
最後に。部分矯正が「適用にならないケース」もあります
一見、部分矯正で治療できそうであっても、どうしても「他の歯」も動かす必要があり、単純な部分矯正では対応できないことがあります。
これは「噛み合わせ」のためです。
矯正治療は「歯並びを整える治療」ですが、
同時に「噛み合わせも整える治療」でもあります。
専門的な話になってしまうので簡単にお伝えすると、
綺麗に歯並びが整ったとしても噛み合わせが整っていない場合、その治療は失敗(不十分)です。
噛み合わせが整っていないと次のような問題が生じる可能性があります。
- しっかり噛むことができなくなる
- 治療後、歯並びが後戻りしてしまう
- 活舌が悪くなる
- 顎関節症になる可能性がある
- 不定愁訴(頭痛、肩こりなど)
つまり、見た目の美しさだけではダメということです。
医院によっては「噛み合わせ」を無視し、見た目だけを追求する医院もありますが、それはとても危険です。
どこかの医院で「噛み合わせを考慮すると部分矯正はできない」と言われた場合、それは間違っていないと思います。しかしどうしても部分矯正で対応したいと他院に話を聞きにいき、「当院では部分矯正で対応できます」と言われた場合、安易に治療を受けないようにしていただきたいです。
矯正治療の内容やメリット・デメリット、リスク・副作用について
治療内容
矯正治療とは、金属製のワイヤーやブラケットを用いた矯正装置や、マウスピース型カスタムメイド矯正装置などを歯に装着して、乱れた歯並びや噛み合わせをキレイに改善する治療のことです。凸凹な歯並びや出っ歯、受け口、口元の突出などの噛み合わせの悪い歯並びを治します。
費用について
個人の症状や治療内容などによって異なるが、約22~110万円(税込)ほどかかる(自費診療)
メリットとデメリット
メリット
デメリット
- 抜歯を必要とする場合がある
- 自費診療となり健康保険対象外であるため高額になることがある
- 歯根吸収が起こることがある
リスク・副作用
- 歯の移動に伴い、痛みを生じることがある。
- 虫歯と歯肉炎のリスクが高くなる。
- 歯根吸収、歯肉退縮を起こすことがある。
- 治療期間は予定より変更になることがある。
初診「個別」相談へのご案内
当院では、患者さんが抱えていらっしゃるお口のお悩みや疑問・不安などにお応えする機会を設けております。どんなことでも構いませんので、私たちにお話ししていただけたらと思います。
ご興味がある方は下記からお問い合わせください。