普通救命講習を受講しました!
2024年10月3日
こんにちは⭐︎
先日、福岡市消防局で普通救命講習をスタッフ一同で受講してきました!

普通救命講習では、心肺蘇生法やAEDの使い方などの知識と技術を学ぶことができます。
実技では、傷病者を発見してから胸骨圧迫までの一連の流れや、AEDの使い方、人工呼吸の方法も学びました!

大切な誰かを助けるための一時応急処置を、自分が学習し、身につける必要や意義は重要だと感じました!
また、実際の場面で冷静に正しい行動がとれるようその時に対応出来る力を身につけておきたいと思った1日でした。
今日学んだことを生かす機会がないことを切に願います。
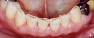
未承認医療機器の使用について
2024年6月17日
当院では、薬機法において未承認の医療機器であるインビザラインを使用した矯正治療を行っています。
またPBMヒーリングライトのご利用を選択いただくことも可能です。
1.未承認医薬品等であることの明示
インビザラインは、海外の工場で製作されるため、薬機法における医療機器として承認されておらず、また歯科技工士法上の矯正装置にも該当しません。
PBMヒーリングライトも同様に薬機法の承認を受けていない未承認医薬品等です。
2.入手経路等の明示
yoshida矯正歯科で扱っているインビザラインは米国アライン・テクノロジー社の製品であり、インビザライン・ジャパン株式会社を介して入手しています。
PBMヒーリングライトはPBM Healing International Limitedの製品であり、個人輸入により入手しています。
3.国内の承認医薬品等の有無の明示
国内でもインビザラインに似た装置があり、国内で薬事承認されているものもあります。日本で医療機器としての矯正装置と認められるものは、次の2点を満たしたものです。
・薬事承認されている材料を使用していること
・既製品の場合は、その装置が薬事承認されていること※日本の国家試験に合格した歯科医師もしくは歯科技工士が製作した矯正装置の場合は、医療機器ではなく「歯科技工物」に該当します。
また国内に加速矯正装置として薬機法の承認を受けているものは存在しません。
4・諸外国における安全性等に係る情報の明示
インビザラインは、世界100か国以上の国で提供され、800万人を超える患者様が治療を受けられている治療方法で、重篤な副作用の報告はありません。
インビザラインは全世界で1400万症例以上(2022年9月時点)が治療されていますが、歯科矯正に伴う個別のリスク以外の重大な副作用の報告はありません。ただし、インビザラインは、薬機法の承認を受けておりませんので、医薬品副作用被害救済制度の対象となりません。
PBMヒーリングライトに関しては現時点で特有のリスクや副作用に関する報告はありませんが、今後重大なリスクや副作用が報告される可能性があります。
薬機法未承認の矯正歯科装置であり、医薬品副作用被害救済制度の対象外となる場合があります。
8月に入社致しました🌼
2023年11月24日
こんにちは😊8月からYOSHIDA矯正歯科クリニックで働かせて頂いてます歯科衛生士の北御門です🦷
冬といえば牡蠣焼きということで先日スタッフ一同で牡蠣焼きに行ってきました!🦪
牡蠣ももちろんですが蟹やエビも塩がきいていてとっても美味しかったです!🦀
近くには海中鳥居があり私達が行った時は干潮でしたが満潮になると
有明海に浮かぶ神秘的な風景になるみたいです✨️

竹崎蟹が有名みたいです!✨

歯科衛生士としてまだまだ未熟ではありますがYOSHIDA矯正歯科クリニックの一員として
これからも頑張っていきます!そして患者様に安心して来院していただけるように努めてまいりますので、
今後ともよろしくお願い致します!🌼
受付の岡本が産休に入りました。
2023年4月16日
受付の岡本が3月から産休に入りました。
そして4/5に無事女の子が産まれたそうです!👶
おかもっちゃんおめでとう!!
受付には2月から新しく中山が加わりました。
みなさん宜しくお願いします。

春ですね🌸
2021年4月29日
こんにちは😊歯科衛生士の大山です🦷
環境が変わることの多い春は出会いが多い季節ですね🌸
仕事、学校、習い事など、どんな場所で出会っても出会った瞬間の「第一印象」がとても重要になってきます。
第一印象は出会ってから数秒で決まると言われ、一度決まった第一印象を覆すのはなかなか難しいとされています。。。
人が第一印象を判断する情報のほとんどは「視覚」から得られているそうです!
そこで!!!初対面の相手に好印象を与える鍵となるのが「笑顔と明るい表情」です。
E-line(エステティックライン:鼻と顎を結ぶ線)やガミースマイル(笑った時に歯肉が見える状態)はすでにご存知の方も多いと思いますが、
笑ったときの歯と口元の関係を「スマイルライン」と呼び、バッカルコリドーができるだけ小さくなるようにすることや下唇のリップラインが上顎の歯に沿ってナチュラルなカーブを描くこと(スマイルアーク)などが美しいとされる笑顔の一つの指標になっています。
バッカルコリドーとは、、
歯列の幅が狭く、スマイルをした時に口角部分に現れる黒い影のことを指します。

この影の部分が少ないほうがより美しく魅力的な笑顔と感じられることがいくつかの学術的な研究でも証明されています。
バッカルコリドーが目立つ原因は前から見たときの歯列の幅が狭いことです。このような歯列は狭窄歯列弓と呼ばれています。

バッカルコリドーを目立たないようにするには歯列弓の幅を広げながら歯を並べる必要があります。
(個人差がありますので、矯正治療だけですべてを理想に近づけることは難しい場合があります。)

バッカルコリドーが少ない方が、笑顔の美しさをより表現していませんか?
笑顔が人に好印象を与え、円滑なコミュニケーションを築く上でとても大切なことは知られていますが、免疫力を高めストレスを軽減する効果もあるそうです。
美しい笑顔は1日にして成らず!
まだまだマスク生活が続きますが、マスクの下でも笑顔で楽しく過ごしましょう😊
歯科矯正治療をして変化すること🌸
2021年3月15日
こんにちは😊
お久しぶりとなりました💦
少しずつ暖かくなってきましたね🌸
桜の開花宣言もでて春らしい陽気になってきました✨
2021年もYOSHIDA矯正歯科を
よろしくお願いします🥺❗️
さて、今から歯科矯正をしたい❗️
でも迷ってる…どのタイミングでしようかな?など悩んでる方いましたら必ず読んでください🥺
歯並びは一生付き合っていくものです。
マスク生活のいまのうちに矯正しちゃいたい🤔
って方も多いはず❗️
矯正を始めたい方は要チェックです↓👀
歯科矯正をして期待できる効果とは…❓
🌼よく噛める健全な歯並びと噛み合わせになり、
口腔内の健康寿命が伸びる✨
しっかり噛めるようになり、咀嚼、嚥下が
スムーズになり口や歯が消化器官の入り口として本来の役割を果たせます!
年齢を重ねても歯はしっかり残せるようになります🦷
🌼口内炎や、虫歯、歯周病のリスクが低くなる
噛み合わせが改善されるとこにより、口の中を
噛んでまた口内炎ができちゃった…ってことも減ります✨
また、歯磨きしやすくなり虫歯や歯周病のリスクもぐんと下がります🪥
毎日のセルフケアも楽しくなりますよ✨
🌼Eラインが綺麗になる
上顎や、下顎が正しい位置になり、
横顔のバランスが改善し美しい横顔を手に入れることができ、Eラインも改善することもあります。
〈※全ての症例ではなく、骨格的な問題がある方は外科手術が必要です。〉
🌼顔の歪み、小顔効果が期待できる
噛み合わせが整って左右の筋肉の歪みが均等に動くことにより、
左右差のバランスが改善を期待できます✨
不正咬合ですと、右だけで噛む。左だけで噛む。と
うまく噛めてない方は多いはずです❗️💦
バランスよく顔の筋肉を使うので小顔になるかも??🙈
〈※症例によって個人差はあります。〉
🌼自然と笑顔になる😁自信を持って笑えるようになる
歯並びに自信がないと、大きく笑えない…
手で隠して笑ってしまう…と笑顔になることに
抵抗がある方いらっしゃると思います。歯並びが整うと、
口元がスッキリした印象になり自然と笑顔になります☺️
笑顔は、自分自身にも、まわりの人にも
さまざまないい影響をもたらすもの。
「笑う門には福来る」
ということわざがあるように、笑顔は幸せを引き寄せます🌈✨
いかがでしたか?😌✨
歯を動かす痛みは伴いますが
それ以上に得られる効果は大きいです❣️
無料相談受付中です❣️🐰
ありがたいことに多数のお問い合わせを
いただいておりまして、ただいま無料相談は
3ヶ月待ちぐらいでございます🥺😣💦
大変ご予約がとりにくく
ご迷惑をお掛けしております❤︎💦
お電話でのご予約がスムーズです📞
ご予約お待ちしております❣️😎
歯科衛生士 井村🐈
ブラキシズムについて🦷
2020年11月30日
皆さんこんにちは!
歯科衛生士の福田です😊
最近だんだん寒くなってきましたね🥶
そんな時、寒さで思わずグッと食いしばっていませんか?
今回はブラキシズムについてお話したいと思います😁
ブラキシズムとは歯ぎしりやくいしばりのことを言います!
普段なにげなく寝ている時や、仕事中の集中している時など色んな場面でギリギリ・ぐーっと食いしばったりしていると思いますが、実はそれをずっと続けていると大変な状態になる場合があります!
①咬耗
咬耗とは、無意識時、就寝時に上下の歯が擦れ合って削れてしまった状態をいいます!


歯の先がスパッとなくなり真っ直ぐ削れて中の組織が見えてきています!
強い力でギリギリ歯ぎしりを続けた結果このような状態になってしまいます!
②骨隆起
歯ぎしり、くいしばりにより強い力がかかり歯を支えている骨がボコボコと増殖し、外側や内側にコブのように出てきている隆起のことを言います!


骨隆起が出てきている方はなかなかくいしばりや、歯ぎしりが酷い方が多いです!
③くさび状欠損
くさび状欠損とは、歯ぎしり、磨き過ぎにより歯茎がグッと下がってしまう状態を言います!酷い場合しみる症状が出てきます!

くさび状欠損に関しては、歯ぎしりもですが磨き方の改善(当て方・力加減)が必要です!
以上のようなことが起きている場合歯ぎしり・くいしばりが酷いかもしれません!
他にも知覚過敏や顎関節症の症状が出る場合もあります!
『私、寝てる時歯ぎしりしてるな~』
『仕事中思わず力が入ってグッとくいしばってるな~』
など気づきがあれば少し口をあけてくいしばりを止めてみたり、歯ぎしりがひどいようであればマウスピースで改善も出来るので作製して上記のような症状になる前に改善してみてはいかがでしょうか?
そう言えば…
最近流行りのあのアニメでも歯ぎしりがヒドイ鬼がいましたね…😏

鬼滅の刃!!観た方はわかりますかね?😄
第6話で出てきた沼鬼です!!
ギリギリやってましたね~😂

ぜひみなさんも歯ぎしり、くいしばりには気をつけて少し意識してみて下さいね😁
よくある質問 Q&A👂
2020年11月23日
こんにちは🌞
歯科衛生士の井村です。
少しずつ冬らしく寒くなってきましたね❄️
11月に入り、今年も残りあと少しとなりました。
最近の朝と夜はグッと気温が下がりお昼間との寒暖差がありますね💦
皆様、風邪を引かないようにお気をつけくださいね😷
当院もコロナ対策や、換気、検温、アルコール消毒を徹底しております。
今後ともしっかり続けていきますので、ご協力よろしくお願いします‼️
さて、本日はよくあるご質問について
お答えしたいと思います✨💡
では、さっそくQ&Aスタート➡︎
Q.虫歯や抜歯は治療していますか?
A.矯正専門医院なので、虫歯治療、抜歯などの一般歯科治療はおこなっておりません。
矯正前に治療が必要な患者様、矯正途中で治療が必要になった患者様には、
こちらから紹介状をお渡ししますのでお手紙を持って一般歯科に受診していただきます☺️
Q.セラミック矯正はしていますか?
A.そもそも、セラミック矯正とは?🤔
セラミック矯正(人工補綴物)を使って、歯並びを整える矯正のことです。
正確には、矯正治療ではなく審美治療に当たります。
大変申し訳ありませんが当院では、セラミック矯正はやっておりません💦
セラミック矯正、歯列矯正のメリット、デメリットありますので、
ご自身にあった治療法を検討しましょう😌

Q.子供も診察していただけますか?
A.はい♪小児も診ています🦷
5、6歳〜12歳のお子様受診可能です♫
乳歯、大人の歯と乳歯が《混合歯列》
生えてから受診をお勧めしています。
Q.高校生だけど無料相談受けれますか?
A.高校生は、保護者同伴であれば無料相談を
受けることができますので、まずはご両親に相談してみましょう‼️✨
18歳以上の大学生はご本人様だけでも
無料相談を受けれます。
※ご注意※
現在コロナ対策の為、お子様に対して
お連れ様《保護者様》はお一人までとさせていただいておりますので、
ご理解の程よろしくお願い致します🙇♀️
※ご注意※
大学生でも未成年の方は、検査後の診断のお話の時は同意書の説明もありますので、
必ず保護者様同伴でお願いしております👨👩
Q.外科矯正はしていますか?
A.よくお問い合わせいただくのですが、当院は外科矯正はしておりません😣
外科矯正ができ、保険適用される
矯正歯科治療を行える医療機関は、
★厚生労働大臣が定める施設基準に適合しているものとして地方厚生(支)局長に
届け出た保険医療機関のみになります。この保険医療機関の名簿に関しては、
地方厚生局ホームページに最新の情報が掲載されておりますのでそちらをご参照ください🙂
Q.支払い方はどんな種類があるの?💰
A.当院では、診断時に治療費の総額をご提示させていただく
トータルフィーシステム(治療費定額制)を採用しています。
毎月の調節料0円。 追加負担金0円。
ワイヤーによる治療終了後の保定装置(後戻り防止装置)の料金・保定管理料も含まれております😌
追加料金はかかりませんのでご安心ください🙋♀️
お支払いのタイミングは
お口の中に装置を装着したときと、
装置を作る為に歯型採りをした時に
お支払いが発生いたします✨
お支払い種類は4つあります🐞🍀
◉現金
◉銀行振り込み
◉クレジットカード
◉デンタルローン
現金での分割払いはおこなっておりませんので、
分割払いご希望の場合はデンタルローンに
お申し込みになります。
審査が承認されましたら
翌月末から支払いがスタートします🙂
クレジットカードも2枚併用可能です💳
上限額や、分割回数はカード会社
患者様の契約によって異なりますので
事前にカード会社にお問い合わせお願いしております🍀
どれでも併用は大丈夫です❣️
例※現金+デンタルローン
※現金+カード
※カード+デンタルローン etc…
詳しいことはお電話にてお問い合わせください💁♀️📞

いかがでしたか?
よくあるご質問に回答させていただきました🤓
また分からないこと、聞きたいことがあればお電話くださいませ🎅✨
また更新したいと思います🐈
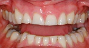
インビザラインについて
2020年9月30日
こんにちは、受付の岡本です😊
最近は以前より矯正治療を検討されている方が多くなってきているように感じます!
多数のお問い合わせを頂きありがとうございます✨
コロナの影響でマスクを着用するようになったので、
この際に矯正をしようと思われる方が多いのかもしれませんね🦷
実は、私も8月からインビザラインを始めたところです!
そこで今回は、私の体験談も交えて、インビザラインについてお話ししようと思います。
①インビザラインとは
②インビザラインを使用されている方におすすめの商品
以上の2点をご紹介します🙋♀️
①インビザラインとは

全米でシェアNo.1のマウスピース矯正です。
世界100ヵ国以上の国、全世界で800万人(2020年1月時点)を超える患者様が治療を受けています。
アメリカの人気歌手ジャスティンビーバーさんもインビザライン矯正をしていました🎤✨

インビザラインの特徴 ↓ ↓ ↓
■口腔内を健康に保てる
インビザラインのアライナー(マウスピース)は取り外しが可能なため、
歯磨きがしやすいのはもちろん、
ワイヤー矯正とは違って口内炎にもなりにくいです。
■治療中でも目立ちにくい
透明のマウスピースで目立ちにくいため、
矯正していることが周囲に気づかれにくいです。
■通院回数を減らせる
メンテナンスが少なく、通院は4-6週間ごとに一度なので、ご多忙な方にとって理想的です。
■金属アレルギーの心配がない
インビザラインは金属不使用です。
そのため金属アレルギーがある方、そして金属アレルギーが心配な方も安心して治療を受けていただけます。
■痛みについて
インビザラインは他のワイヤー矯正よりも痛みが少ないと言われています。
ただし、まったく痛くならないというわけではありません。
個人差はあるものの、私はマウスピースを交換したときや
アタッチメントを装着したときなどに痛みが出やすく感じました。
しかし、その痛みがずっと続くのではなく、2、3日すると痛みは無くなります。
また、痛みがある方が歯が動いてる実感が持てます。
②インビザラインを使用されている方におすすめの商品
【リテーナークリーン】

毎日マウスピースを付けていると汚れや匂いが付くのでリテーナークリーンは必須です★
【チューイー】

当院では無香料の他に、フレーバー付きのチューイーを最近導入しました。
ミント、パイン、グレープからお選び頂けます。私はグレープがお気に入りです🍇
【イージーリフト】

装着したマウスピースが取り外しにくい方はイージーリフトを使えば爪やネイル、
歯肉にダメージを与えることなく取り外すことが可能になります。
気になるものや、分からないことがあれば、いつでもお問い合わせ下さい😊
長くなりましたが、最後までご覧頂きありがとうございました★
また、来月更新します!!
🧊知覚過敏について🍧
2020年8月28日
こんにちは🙋♀️
歯科衛生士の宮崎です!
まだまだ暑い日が続きますね☀️
毎日のようにパピコ🍦を食べていて
毎日のように奥歯がキーンと凍みるので←笑
今回は、《知覚過敏》
についてお話ししたいと思います🙋♀️✨
知覚過敏という言葉は耳にしたことがあるかもしれません!
ムシ歯ではないけど
歯が凍みてしまう症状のことを知覚過敏といいます🦷
実は矯正治療中にも
知覚過敏の症状が出てしまう場合があります💦
今回は
①知覚過敏とは
②知覚過敏の原因
③対処法
④知覚過敏の予防
をお伝えしていきます🙋♀️✨
①知覚過敏とは
•冷たい飲み物や食べ物でキーンと染みる
•歯ブラシが当たった時にピリッと痛い
•冷たい風が当たった時に凍みる
•甘いものや酸っぱいもので凍みる
など、ムシ歯と同じような症状があります。
患者様からはよく、この歯はムシ歯ですか?と聞かれることも多いです🙋♀️
ムシ歯はある程度進行しないと症状が出ないため
ムシ歯ではない歯、かなり小さなムシ歯の場合や、歯の神経に問題がない場合は知覚過敏であると言えます。
②知覚過敏の原因
歯の外側はエナメル質という
硬い層があります。
そのエナメル質が削れたり、
歯茎の下に隠れていた
象牙質という層が見えてしまうと
凍みる原因となります。

ではなぜ、エナメル質が削れたり
象牙質が見えてしまうのでしょうか?
⑴エナメル質が削れている、溶けている
・過度な歯磨き圧で歯が削れてしまう
・外傷や、歯ぎしりなどで歯が欠けたり、削れてしまう
・酸蝕歯でエナメル質が溶けている(酸蝕歯に関しては以前のブログへ♪)
⑵歯茎が下がって隠れていた象牙質が見えてきた
・過度な歯磨き圧で歯茎を下げてしまう
・歯周病になり歯茎が下がる
・加齢とともに歯茎が下がる
大きく分けてこの2つが知覚過敏の原因です。
矯正中は歯を動かす際に痛みが生じる場合がありますが、
噛み合わせが矯正途中で強く当たってしまう時期などは、歯に負担がかかり一時的に凍みてしまう場合もあります💦
③知覚過敏の対処法
では、知覚過敏になってしまったらどうしたらいいかお答えしていきます🙆♀️
⑴症状が軽度
・知覚過敏用の歯磨き粉を使う
・フッ素を塗る
・知覚過敏用の薬を塗る
⑵症状が中等度
・歯茎が下がっている所や削れているところを埋める
⑶症状が重度
・神経を取る
など、他にも様々あります。
神経を取るまで症状が進行しないよう
早めに対処や予防をしましょう!!
④知覚過敏にならないために
・歯磨きの改善
→歯ブラシをふつう〜柔らかいものに変える、力を弱める、磨く時間を少なくする
・歯ぎしり、かみ合わせの改善
→マウスピースを使う、矯正でかみ合わせを治す
人によって原因や改善方法は様々なので、
対処法や予防法は歯科医師や
歯科衛生士に相談してみてくださいね😊
知覚過敏は
早期の発見や対応がとても大切です!
当院では矯正治療前に
染め出しをして歯磨き指導を行なっています。
小学生のときなどにしたことがある方も多いと思います🦷

その際に歯ブラシの動かし方や当て方なども指導していきます🙋♀️
また、知覚過敏用の歯磨き粉も販売しています!

わたしも愛用しています♡
これを使っていると知覚過敏の症状がマシになるので、お守りのように使っています😊
矯正治療中に凍みている方も早めにご相談くださいね✨
みなさんが知覚過敏にならずに
冷たい飲み物やアイスなど
思いっきり楽しめますように〜😊🍧🧊
無料相談はただいま1ヶ月半待ちとなっております。
お待たせしご迷惑をお掛けしますが
ご連絡おまちしております🙇♀️✨
それではまた更新します!🙋♀️🍁